Masson染色
染色Masson时,胶原纤维会显现出蓝色或绿色,因其被染料苯胺蓝或亮绿染色。反之,肌纤维会呈现红色,因其被酸性品红和丽春红染料所着色。这种差异的产生与阴离子染料的分子大小以及组织对染料的渗透性密切相关。
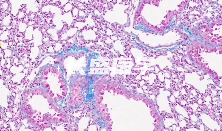
技术原理
Masson染色是一种常见的组织学染色方法,其通过使用不同大小的阴离子染料,针对组织的渗透性和化学成分的差异,将胶原纤维、肌纤维和红血细胞进行染色。在该方法中,胶原纤维被较大分子的阴离子染料着色,呈蓝色或绿色;肌纤维则被中等大小的阴离子染料着色,呈红色;而红血细胞则被最小分子的阴离子染料着色。这种染色方法具有很高的临床应用价值,因为它可以快速准确的显示出不同的组织成分,从而帮助医学专业人员诊断和治疗不同的疾病。
真实实验研究 上百项检测实验 6大实验平台












