非酒精性脂肪肝模型
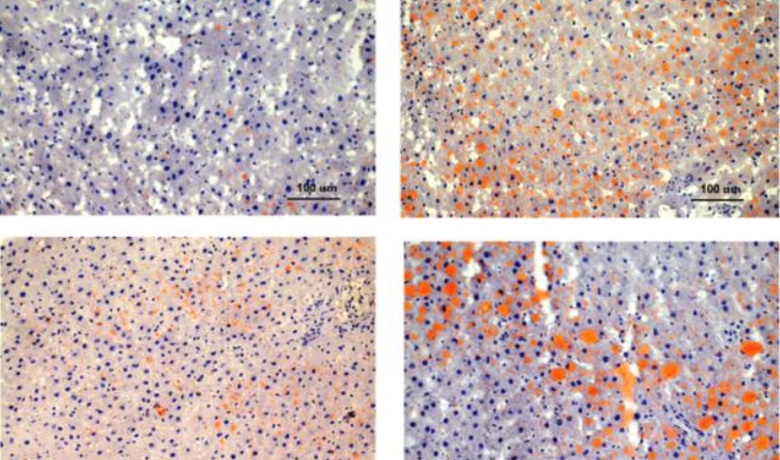
随着人们生活方式和饮食结构的改变,非酒精性脂肪肝越来越普遍,成为我国最常见的肝病之一,同时也与肥胖、胰岛素抵抗、糖尿病、高脂血症密切相关。为研究其发病机制,建立非酒精性脂肪性肝病动物模型至关重要。
技术原理
我国NAFLD是当前最常见的肝病,与肥胖、胰岛素抵抗、糖尿病以及高脂血症等代谢异常密切相关。近年来,由于人们生活方式的改变和饮食结构的西化,非酒精性脂肪肝的发病率不断上升,因此有必要研究非酒精性脂肪性肝病动物模型。为了模拟非酒精性脂肪性肝病,可以通过给实验动物喂食高脂饲料进行造模。
真实实验研究 上百项检测实验 6大实验平台












